GOOD PRIME MEDICAL
이명/난청

이명

외부에서 아무런 소리 자극이 없음에도 머리나 귀에서 소리가 들리는 듯한 현상을 이명 혹은 귀울림이라고 합니다 . 하루에 여러 차례 발생하고, 하루이상 지속된다면 즉시 병원을 방문해 검사를 받아볼 필요가 있습니다. 면역력이 저하되거나 피로가 쌓였을 때 또는 스트레스를 많이 받은 경우 증상이 심해지고, 자연적으로 호전되었던 이명 증상이 재발되기도 하며, 심한 경우 난청을 유발하기도 해 초기에 적절한 치료가 필요합니다.

난청

청각 신경 회로의 일부가 역할을 다하지 못하여 작은 소리를 듣기 어렵거나 들리는 소리를 구분할 수 없는 상태를 말합니다.연령대가 높고 스,즈,츠,프와 같은 고음 영역이 들리지 않는다면 노인성 난청을 의심할 수 있습니다.평소 잦은 이어폰 및 헤드폰 사용과 함께 귀가 잘 들리지 않는 듯한 느낌이 든다면 소음성 난청을 의심할 수 있습니다 소음성 난청 이 있는 경우에는 이명, 이충만감 등의 증상을 동반하기도 합니다.

돌발성 난청

별다른 이유 없이 갑자기 한 쪽 귀가 먹먹하고 잘 들리지 않는다면 돌발성 난청을 의심할 수 있습니다 돌발성 난청은 응급 질환으로 분류 되며, 초기에 치료하지 않으면 청각을 잃을수도 있는 질환입니다. 순음 청력 검사에서 3개 이상 연속된 주파수에서 30db 이상의 청력 손실이 3일 이내에 발생하는 경우 에는 돌발성 난청으로 진단할 수 있습니다.

GOOD PRIME MEDICAL
이명/난청
아래의 증상중 4가지 이상이 해당된다면 의사와의 상담을 권합니다
  • 전화 통화 등 일상생활을 하는데 문제가 있다

  • 시끄러운 곳에서 대화하는 것에 어려움이 있다

  • 둘 또는 그 이상의 사람과 한 번에 대화하는 것이 어렵다.

  • 다른 사람이 말할 때 중얼거리는 것 처럼 들린다.

  • TV소리 볼륨을 크게 해야 소리가 들린다

  • 어떠한 소리가 너무 크게 느껴진 적이 있다.

GOOD PRIME MEDICAL
이명/난청의 원인

바이러스 감염

바이러스 감염으로 인해 발생

혈액장애

혈관문제로 혈액 공급이 감소되어 발생

와우막 파열

재채기, 기침, 다이빙 등 급격한 압력으로 손상

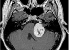
청신경 종양

약1~3% 에서 발견 되므로 MRI 검사를 고려해야 합니다.

기타

자가면역성 질환, 외림프 누공, 당뇨병, 척추동맥 손상, 급작스러운 소음노출

GOOD PREIMEMEDICAL
이명/난청의 치료방법

스테로이드

전체적인 염증을 감소시키며 고용량을 단기에 사용합니다.고막 안쪽에 스테로이드 약물을 직접 주입하여 흡수시킬 수 있습니다.

고압 산소치료

보조적인 치료로 병행했을 때 회복에 도움이 될 수 있습니다.

수술

구조적인 문제가 발견된다면 수술을 통해 치료해야 합니다.

기타

혈액순환 개선제, 혈관 확장제, 항바이러스제, 이뇨제를 고려합니다.